UIGO
Skip to Main Content

Invisalign

Nobel Bioclear

Before & After Gallery

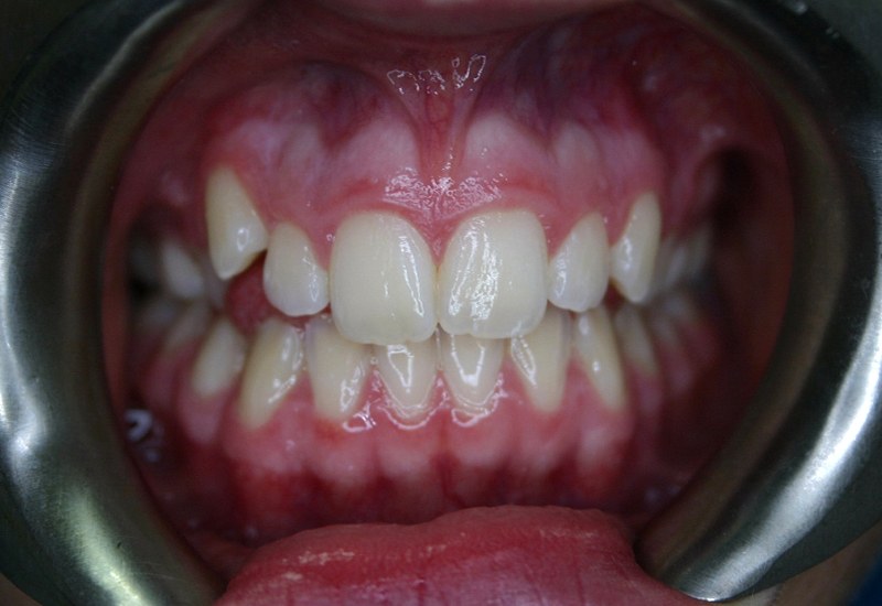
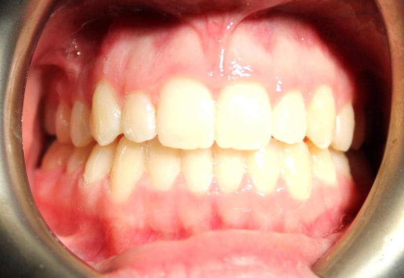
Invisalign

BEFORE

AFTER

  • Page 1 of 2

Crowns & Bridges

BEFORE

AFTER

  • Page 1 of 2

Individual results may vary. 

New Patients Always Welcome

Looking for a dentist in Collingwood? We're happily welcoming new patients at our dental clinic! Contact us to get started today. 

Request Appointment

(705) 444-1500 Request Appointment